Casos de éxito

image

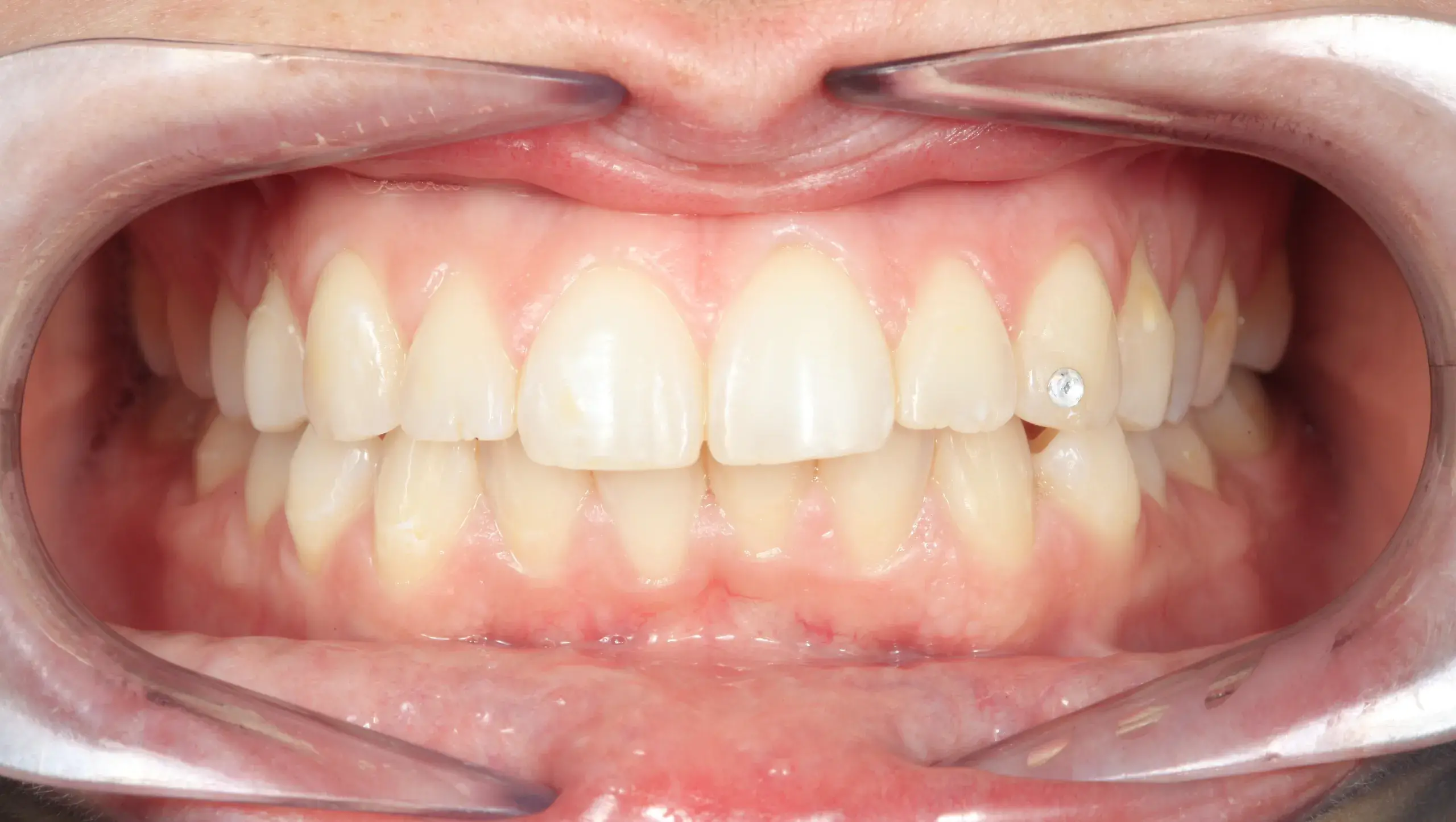
Caso clínico 10: Joyas dentales

Caso clínico 10: Joyas dentales En este caso, se ha realizado un tratamiento de estética dental con la aplicación de una joya dental. Las joyas dentales son una opción no…
image

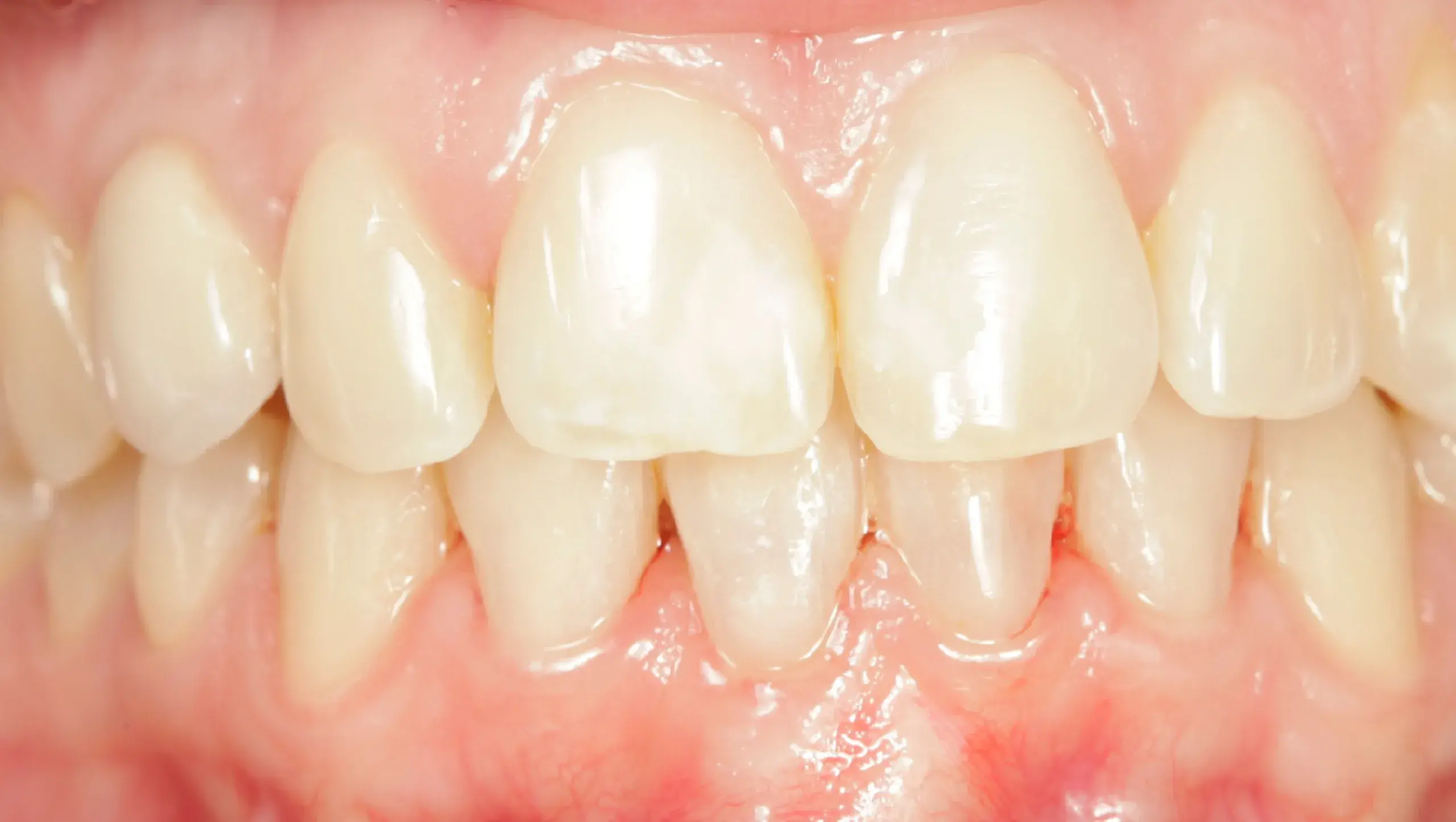
Caso clínico 9: Caries

Caso clínico 9: Caries En el siguiente caso clínico se puede observar un tratamiento de endodoncia microscópica de los dientes anteriores seguido de una restauración conservadora mediante incrustación de disilicato…
image

Caso clínico 8: Cirugía mucogingival

Caso clínico 8: Cirugía mucogingival En este caso, el paciente presentaba una recesión gingival en el área del incisivo inferior. Esta recesión dejó expuesta una parte considerable de la raíz…
image

Caso clínico 7: Restauración de diente

Caso clínico 7: Restauración de diente Este caso clínico presenta un diente que inicialmente parecía estar comprometido hasta el punto de necesitar extracción , pero mediante una restauración adecuada se…
image

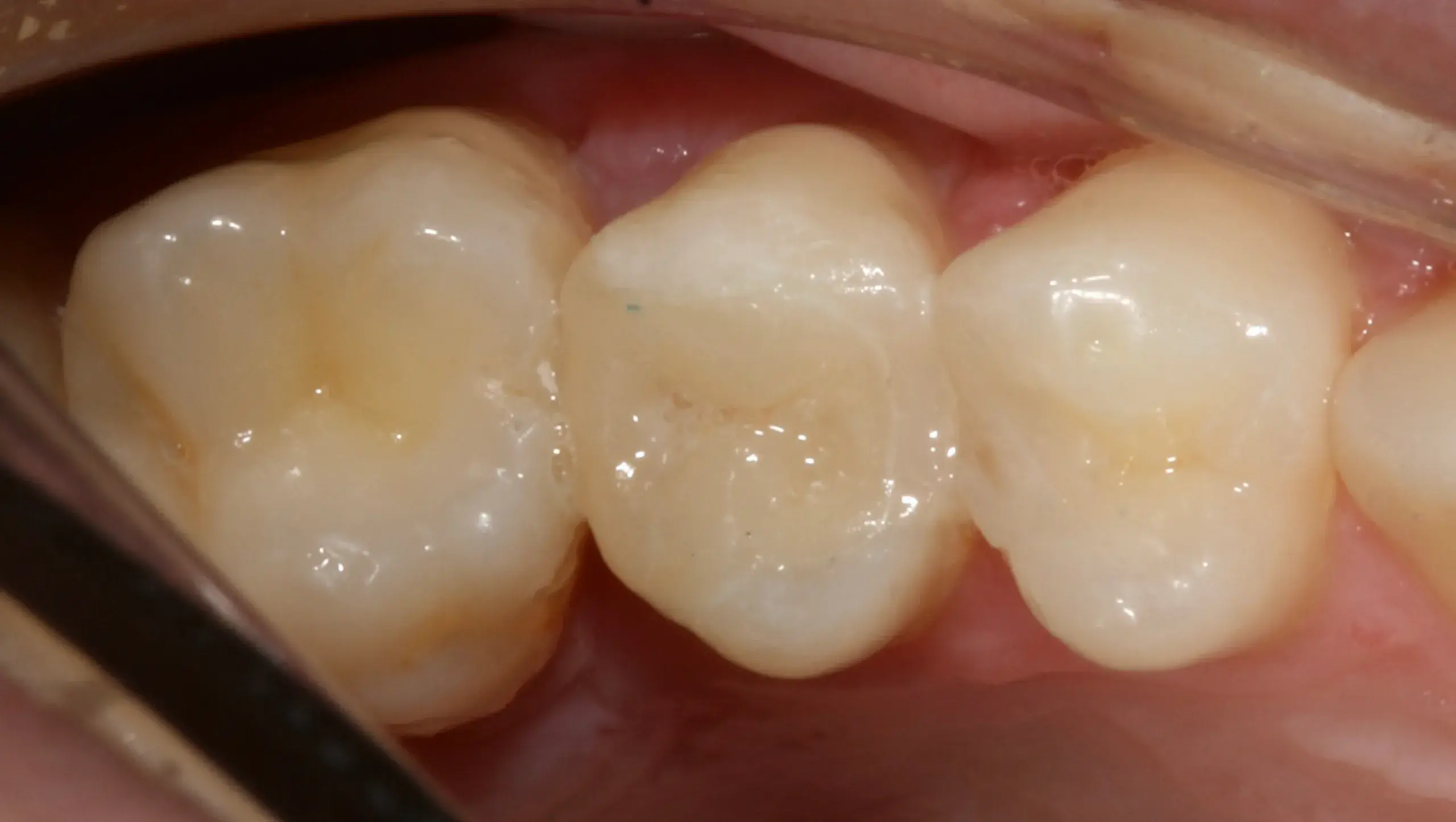
Caso clínico 6: Incrustación de disilicato de litio

Caso clínico 6: Incrustación de disilicato de litio En este caso clínico, observamos una restauración de un diente que, tras haber sido tratado mediante una endodoncia, recibió una incrustación de…
image

Caso clínico 5: Canino inferior incluido

Caso clínico 5: Canino inferior incluido El diagnóstico principal para este caso fue un canino inferior impactado.Antes de la ortodoncia:Canino impactado:El canino inferior derecho no había erupcionado en su posición…