
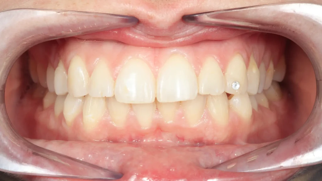
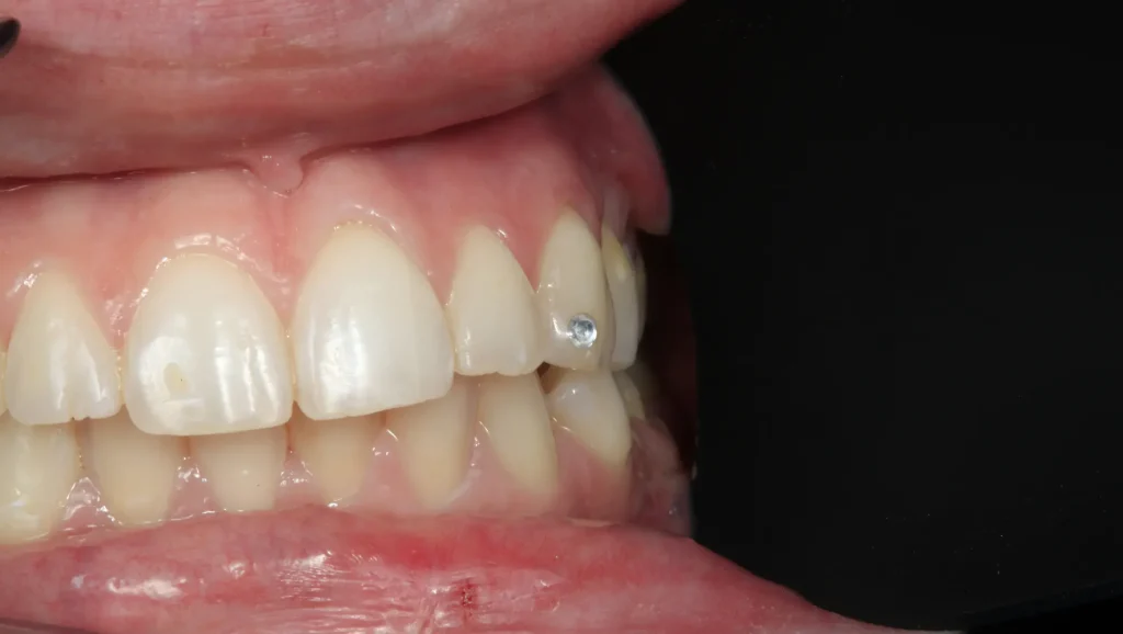
En este caso, se ha realizado un tratamiento de estética dental con la aplicación de una joya dental. Las joyas dentales son una opción no invasiva que permite embellecer la sonrisa sin necesidad de procedimientos complejos o dañinos para el diente. A continuación, se detalla el proceso y el resultado:





Este procedimiento se considera parte de los tratamientos de estética dental, que ayudan a mejorar la apariencia de la sonrisa sin recurrir a procedimientos invasivos. En la Clínica Dental Boyer, este tipo de tratamientos permiten a los pacientes conseguir resultados satisfactorios que les brindan mayor confianza en su sonrisa. El tratamiento es completamente seguro, y la aplicación de joyas dentales es una opción popular entre aquellos que buscan realzar la belleza de su sonrisa de manera sencilla y efectiva.
En la Clínica Dental Boyer, nos especializamos en ofrecer tratamientos personalizados y de alta calidad, utilizando técnicas avanzadas para garantizar resultados satisfactorios y duraderos. Si estás interesado en mejorar tu sonrisa y tu salud dental, no dudes en contactar con nosotros. Te asesoraremos y guiaremos en el tratamiento adecuado para ti.