
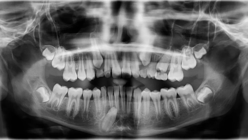
El diagnóstico principal para este caso fue un canino inferior impactado.
Canino impactado:
Alineación dental:
Estructura ósea:
Relación oclusal:

El tratamiento de ortodoncia se dividió en tres fases:
1- Fase inicial: creación de espacio
2- Fase de tracción del canino impactado:
3- Fase de finalización y detallado:
4- Fase de retención:


La evaluación final mediante radiografía y exploración clínica mostró los siguientes logros:
Canino impactado:
2- Alineación dental:
3- Relación oclusal:
4- Estética:

Este caso clínico demuestra la eficacia de un enfoque interdisciplinario para el tratamiento de ortodoncia de un canino impactado. La combinación de procedimientos quirúrgicos y ortodónticos permitió obtener resultados altamente satisfactorios. Este caso resalta la importancia de una planificación minuciosa y un seguimiento continuo para manejar con éxito situaciones complejas en ortodoncia.
En la Clínica Dental Boyer, nos especializamos en ofrecer tratamientos personalizados y de alta calidad, utilizando técnicas avanzadas para garantizar resultados satisfactorios y duraderos.
Si estás interesado en mejorar tu sonrisa y tu salud dental, no dudes en contactar con nosotros. Te asesoraremos y guiaremos en el tratamiento adecuado para ti.