
En este caso, se muestra un caso de maloclusión tratado con ortodoncia, llevado a cabo en nuestra clínica, con un enfoque personalizado para conseguir una sonrisa perfecta. A continuación, presentamos el antes y después del tratamiento realizado en uno de nuestros pacientes, donde se observa una mejora significativa tanto en la alineación de los dientes como en la estética facial.
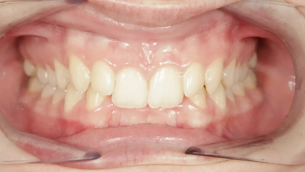
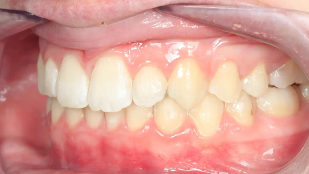
Como se puede apreciar en las imágenes iniciales, el paciente presentaba una mala alineación dental que afectaba tanto a la estética como a la función masticatoria. En particular, se observa una mordida desalineada, con los dientes superiores e inferiores no encajando correctamente, lo que podía generar molestias al comer y hablar.
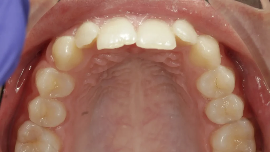
Además, el paciente presentaba algunos dientes apiñados, lo que dificultaba la higiene dental adecuada y aumentaba el riesgo de problemas periodontales.






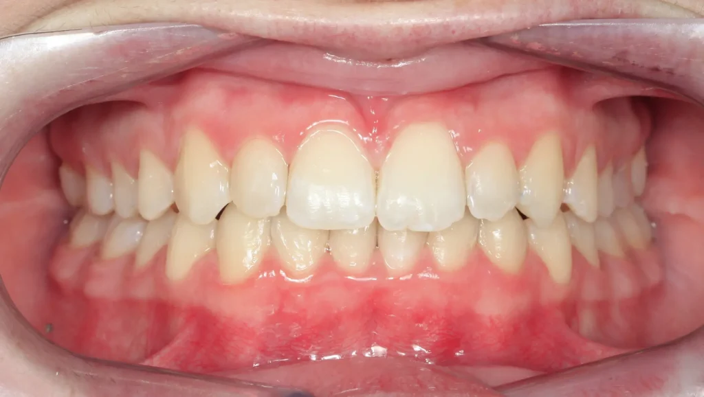
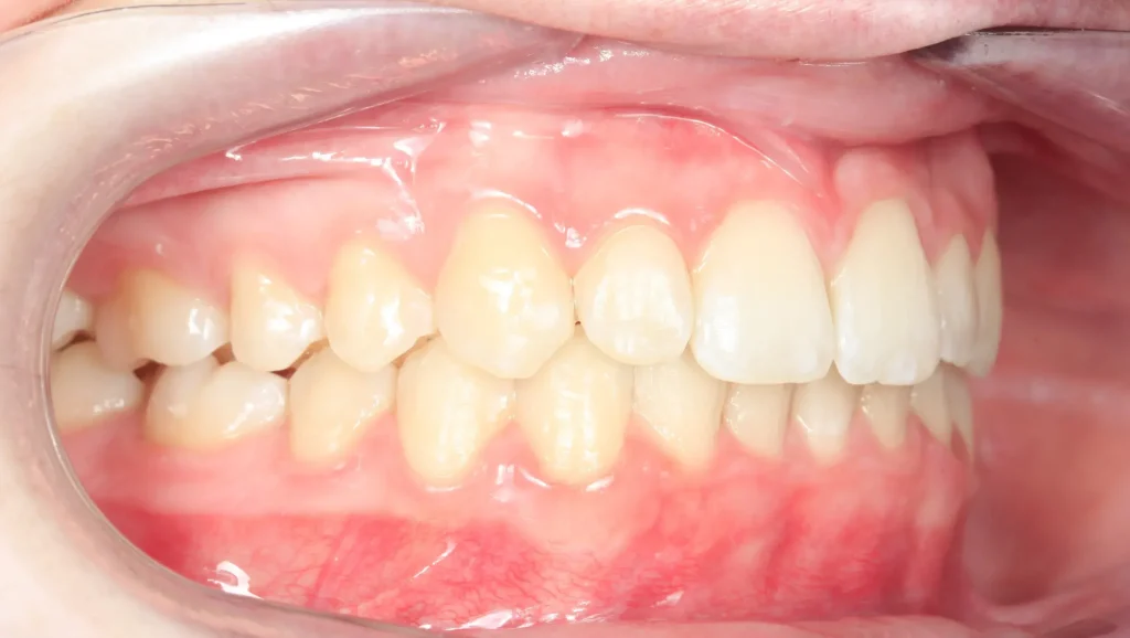
Las imágenes finales muestran un cambio notable, con los dientes perfectamente alineados, mejorando no solo la estética facial del paciente, sino también su mordida. Ahora, el paciente disfruta de una sonrisa más armoniosa y un mejor contacto entre los dientes superiores e inferiores, lo que facilita la masticación y mejora la salud dental en general.
La ortodoncia también ha permitido una mejor higiene dental, ya que la alineación correcta de los dientes facilita el cepillado y la eliminación de placa bacteriana, reduciendo el riesgo de caries y enfermedades en las encías.






Este caso demuestra cómo un tratamiento de ortodoncia puede transformar no solo la apariencia, sino también la salud dental de un paciente. En la Clínica Dental Boyer, nos especializamos en ofrecer tratamientos personalizados y de alta calidad, utilizando técnicas avanzadas para garantizar resultados satisfactorios y duraderos.
Si estás interesado en mejorar tu sonrisa y tu salud dental, no dudes en contactar con nosotros. Te asesoraremos y guiaremos en el tratamiento adecuado para ti.