
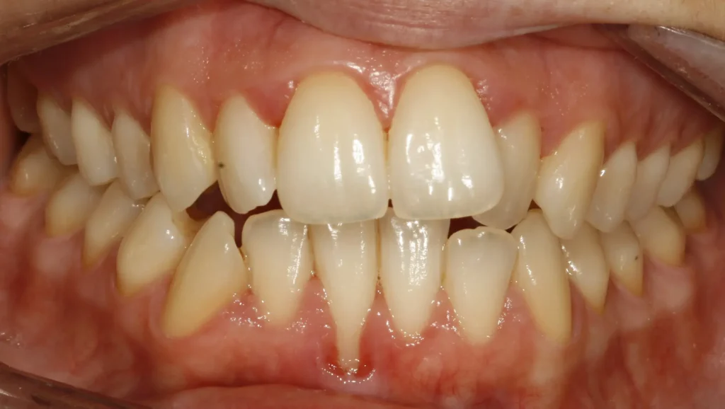
La paciente acudió a la consulta manifestando preocupación por la alineación de sus dientes y la estética de su sonrisa.
Tras una evaluación exhaustiva mediante exploración clínica, fotografías y radiografías, se determinaron los siguientes hallazgos:
En la Arcada Superior:
En la Arcada Inferior:
Relación Oclusal:
Funcionalidad:




Tras completar el tratamiento de ortodoncia, se logró una transformación significativa tanto en la estética como en la funcionalidad del paciente:
En la Arcada Superior:
En la Arcada Inferior:
Relación Oclusal:
Estética de la sonrisa:
Funcionalidad general:



Este caso clínico demuestra cómo en un tratamiento de ortodoncia, mediante la combinación de técnicas modernas de ortodoncia fija, un control periódico riguroso y una contención adecuada permitió obtener resultados sobresalientes y duraderos. El paciente manifestó una gran satisfacción con los resultados, destacando la mejora en su calidad de vida.
En la Clínica Dental Boyer, nos especializamos en ofrecer tratamientos personalizados y de alta calidad, utilizando técnicas avanzadas para garantizar resultados satisfactorios y duraderos.
Si estás interesado en mejorar tu sonrisa y tu salud dental, no dudes en contactar con nosotros. Te asesoraremos y guiaremos en el tratamiento adecuado para ti.