
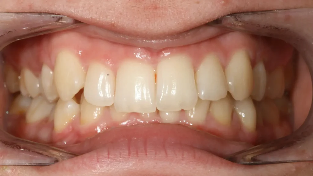
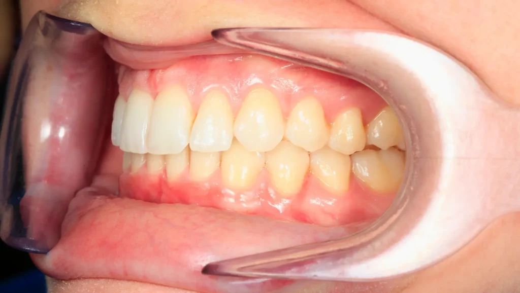
En el siguiente caso clínico, se puede observar que la paciente presenta una serie de irregularidades dentales que afectan tanto la alineación de los dientes como la estética de su sonrisa.
Salud dental y funcionalidad: aunque no se aprecian problemas graves como caries o inflamación de las encías, la desalineación puede generar dificultades a largo plazo. Las encías pueden inflamarse debido a la dificultad para mantener una higiene dental adecuada en las áreas donde los dientes están apiñados, lo que podría provocar problemas periodontales.
El desgaste irregular de los dientes debido a una mordida incorrecta es otro factor a tener en cuenta. Esta situación podría llevar a la paciente a experimentar problemas como dolores en la mandíbula o dientes desgastados, en especial si la mordida provoca contactos inadecuados entre los dientes superiores e inferiores.






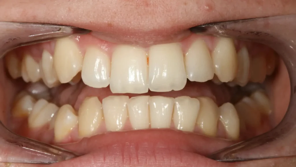
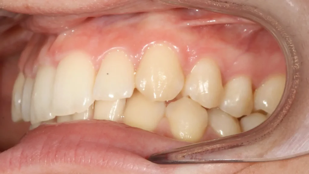
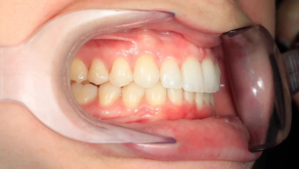
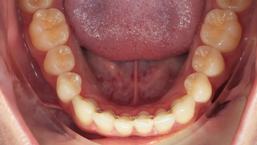
Las imágenes finales muestran cómo gracias al tratamiento de ortodoncia los dientes ahora están totalmente alineados, con una mejora clara en la disposición de los dientes frontales. El apiñamiento de los dientes superiores e inferiores ha desaparecido, y los dientes están en una disposición más armoniosa.
Por otro lado, la mordida parece estar más equilibrada. El ajuste entre los dientes superiores e inferiores ha mejorado, lo cual significa que la paciente ahora cierra la boca de una manera más natural y cómoda.





Este caso demuestra cómo un tratamiento de ortodoncia puede transformar no solo la apariencia, sino también la salud dental de un paciente. En la Clínica Dental Boyer, nos especializamos en ofrecer tratamientos personalizados y de alta calidad, utilizando técnicas avanzadas para garantizar resultados satisfactorios y duraderos.
Si estás interesado en mejorar tu sonrisa y tu salud dental, no dudes en contactar con nosotros. Te asesoraremos y guiaremos en el tratamiento adecuado para ti.