
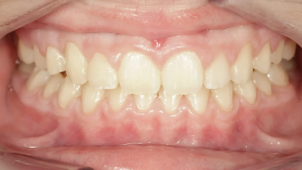
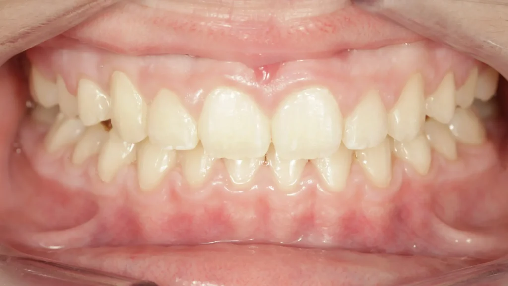
En este caso, la paciente presentaba una maloclusión clase II, caracterizada por un desajuste entre los maxilares superior e inferior. Específicamente, se observaba una mordida cruzada, donde los dientes superiores no se alineaban correctamente con los dientes inferiores. Además, la paciente tenía apiñamiento dental en la zona anterior del maxilar superior.
Al inicio del tratamiento, la paciente presentaba un mal posicionamiento de los dientes, lo que generaba tanto una sonrisa desalineada como una función masticatoria comprometida. La mordida cruzada era evidente en la parte frontal, donde los dientes superiores se desplazaban hacia adentro, en lugar de encajar adecuadamente con los dientes inferiores. Además, el apiñamiento de los dientes superiores también dificultaba el alineamiento correcto.
El tratamiento ortodóntico propuesto consistió en el uso de un sistema de brackets metálicos de alta calidad, que permitiría corregir tanto la mordida cruzada anterior como el apiñamiento dental en la arcada superior. A través de una serie de movimientos controlados y progresivos, el plan se centró en los siguientes objetivos:
Durante todo el tratamiento, se realizaron ajustes periódicos de los brackets para asegurar que los movimientos dentales progresaran de manera eficiente, lo que permitió a los dientes alcanzar una posición más funcional y estéticamente correcta.
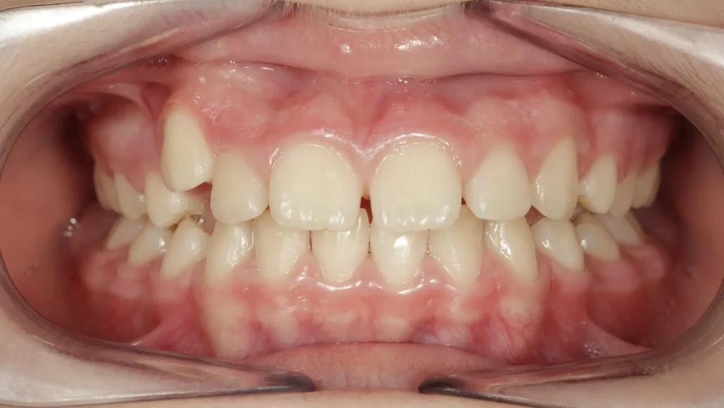
Al finalizar el tratamiento, se observan mejoras notables en la alineación dental. La mordida cruzada anterior ha sido completamente corregida, permitiendo que los incisivos superiores e inferiores se contacten adecuadamente cuando la paciente cierra la boca. Esta corrección restauró una oclusión equilibrada, mejorando la función masticatoria.
El apiñamiento de los dientes superiores ha sido completamente corregido, lo que permitió una alineación perfecta de los incisivos y una sonrisa más armónica. Los dientes ahora tienen un contacto adecuado y estéticamente agradable, proporcionando a la paciente una mayor confianza en su apariencia.
La salud bucal también ha mejorado, ya que el tratamiento ortodóntico ha optimizado la alineación dental, lo que facilita la higiene oral y reduce el riesgo de caries y enfermedades periodontales al evitar zonas de difícil acceso para el cepillo.


Este caso clínico resalta cómo un tratamiento de ortodoncia mejora tanto la estética como la funcionalidad de la mordida. En la Clínica Dental Boyer, nos especializamos en ofrecer tratamientos personalizados, adaptados a las necesidades de cada paciente, utilizando la tecnología más avanzada para garantizar resultados excelentes y duraderos.
Si estás buscando mejorar tu sonrisa y corregir problemas de alineación dental, no dudes en contactarnos. Nuestro equipo de expertos en ortodoncia te guiará a través de todo el proceso, asegurando tu comodidad y satisfacción.